نشانه‌های استخوان جوش نخورده چیست و چگونه تشخیص داده می‌شود؟

استخوان جوش نخورده چه نشانه‌هایی دارد و چرا تشخیص آن مهم است؟
تیم تولید محتوای ایران نوبت
1404/10/03

نشانه‌های استخوان جوش نخورده

نشانه‌های استخوان جوش نخورده
شکستگی استخوان‌ها یکی از شایع‌ترین آسیب‌های اسکلتی است که معمولاً با درمان مناسب در مدت‌زمان مشخصی ترمیم می‌شوند. اما گاهی این روند طبیعی ترمیم مختل شده و استخوان‌ها به‌درستی به هم جوش نمی‌خورند. این وضعیت که با عنوان «استخوان جوش نخورده» یا Nonunion شناخته می‌شود می‌تواند پیامدهای جدی برای سلامت، عملکرد حرکتی و کیفیت زندگی بیمار داشته باشد. در ادامه نشانه های این مشکل را بررسی می‌کنیم:
درد مداوم یا درد شدید که با گذشت زمان بهبود پیدا نمی‌کند
تورم و التهاب طولانی‌مدت در محل شکستگی
ناتوانی در تحمل وزن یا استفاده طبیعی از اندام آسیب‌دیده
احساس لق بودن یا ناپایداری استخوان
حرکت غیرطبیعی در محل شکستگی
حساسیت زیاد به لمس پس از پایان دوره ترمیم
کوتاه شدن یا بدشکلی اندام در برخی موارد
بهبود نیافتن شکستگی در عکس‌برداری‌های پیگیری (رادیوگرافی یا سی‌تی اسکن)
اگر این نشانه‌ها پس از چند ماه ادامه داشته باشد مراجعه به متخصص ارتوپدی برای بررسی و تشخیص دقیق بسیار ضروری است؛ زیرا تأخیر در درمان می‌تواند منجر به درد مزمن و آسیب دائمی شود.

روش‌های تشخیص

روش‌های تشخیص
تشخیص این مشکل یکی از بخش‌های حساس درمان شکستگی است زیرا هر چه زودتر تشخیص داده شود احتمال ترمیم کامل و بدون جراحی بیشتر خواهد بود.
در ادامه، مهم‌ترین و دقیق‌ترین روش‌های تشخیص را شرح می‌دهیم:

معاینه بالینی توسط ارتوپد

پزشک ابتدا با مشاهده و لمس محل شکستگی وضعیت را بررسی می‌کند.
ارزیابی درد ماندگار در محل شکستگی
بررسی تورم، تغییر شکل یا حساسیت موضعی
بررسی میزان حرکت اندام و ناپایداری مفصل مجاور
شنیدن صدای کلیک یا احساس لق بودن در استخوان
این معاینه پایه‌ای‌ترین و اولین روش تشخیصی است.

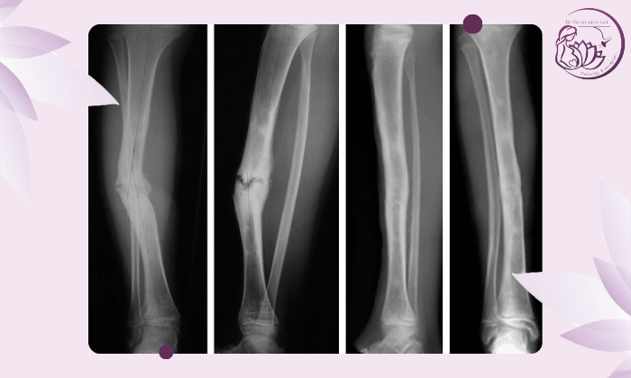
تصویربرداری با رادیوگرافی (X-ray)

رایج‌ترین ابزار تشخیص است. پزشک با مقایسه عکس‌های جدید با تصاویر قبلی موارد زیر را ارزیابی می‌کند:
وجود شکاف بین قطعات استخوان (عدم اتصال)
نبود نشانه‌های تشکیل کال استخوانی (Callus)
حرکتی بودن شکستگی در محل اتصال
در موارد شک‌برانگیز عکس‌ها در دو زاویه گرفته می‌شود تا وضوح بیشتری داشته باشند. چنانچه قصد انجام رادیولوژی در جردن را دارید می‌توانید به مرکز تصویربرداری دکتر محمدنژاد مراجعه کنید.

سی‌تی اسکن (CT-Scan)

در صورتی‌که رادیوگرافی واضح نباشد یا شکستگی پیچیده باشد (مثل شکستگی در نواحی لگن، مچ یا استخوان‌های کوچک):
CT امکان مشاهده سه‌بعدی از محل جوش‌نخوردگی را می‌دهد.
ضخامت و فاصله‌ی بافت استخوانی بین دو قطعه را به‌طور دقیق نشان می‌دهد.

MRI (تصویربرداری با امواج مغناطیسی)

اگر احتمال عفونت (استئومیلیت) یا مرگ بافت استخوانی (نکروز استخوان) وجود داشته باشد MRI بهترین گزینه است.
MRI جریان خون بافت استخوانی را نشان می‌دهد.
وجود التهاب یا بافت نرم غیرطبیعی اطراف دو قطعه را مشخص می‌کند.

آزمایش‌های خونی (در موارد خاص)

برای رد یا تأیید وجود عفونت استخوانی که ممکن است مانع جوش خوردن شود:
ESR و CRP (نشانگر التهاب)
CBC (برای بررسی عفونت فعال)
در موارد خاص برداشت نمونه از محل جراحی پیشین برای کشت میکروبی انجام می‌شود.

ارزیابی عملکردی و پیگیری بالینی

بررسی دامنه حرکات مفصل مجاور
میزان تحمل وزن یا فشار بر اندام
کاهش درد با گذشت زمان
در صورتی که طی ۶ ماه پس از شکستگی هیچ علامتی از ترمیم در عکس‌ها یا علائم بالینی دیده نشود تشخیص این مشکل قطعی است.

عوامل مؤثر بر جوش نخوردگی

عوامل مؤثر بر جوش نخوردگی
این مشکل می‌تواند دلایل مختلفی داشته باشد که معمولاً به شرایط بدن بیمار، نوع شکستگی و روند درمان

اختلال در خون‌رسانی

خون‌رسانی کافی برای ترمیم استخوان ضروری است. در صورتی که:
شکستگی شدید باشد
عروق خونی اطراف استخوان آسیب دیده باشند
شکستگی در نواحی با خون‌رسانی ضعیف (مثل ساق پا یا استخوان ران) رخ دهد
احتمال جوش نخوردن افزایش می‌یابد.

عفونت در محل شکستگی یا جراحی

عفونت می‌تواند روند طبیعی استخوان‌سازی را مختل کند.
عفونت‌های باز یا پس از جراحی
وجود باکتری در محل پلاک، پیچ یا پین‌ها
از دلایل مهم ناتوانی استخوان در جوش خوردن هستند.

بی‌حرکتی ناکافی یا حرکت بیش از حد

برای ترمیم صحیح، دو سر استخوان باید ثابت باشند.
گچ‌گیری یا فیکساسیون نامناسب
برداشتن زودهنگام گچ یا فشار آوردن بیش از حد
باعث حرکت مداوم قطعات استخوان و عدم ترمیم می‌شود.

شدت و نوع شکستگی

برخی شکستگی‌ها ذاتاً ریسک بیشتری دارند:
شکستگی‌های باز
شکستگی‌های چندتکه یا خردشده
شکستگی‌های همراه با آسیب بافت نرم
شکستگی‌های ناشی از تصادفات شدید

مصرف سیگار و الکل

نیکوتین باعث کاهش جریان خون و اکسیژن‌رسانی به استخوان می‌شود.
الکل نیز جذب کلسیم و عملکرد سلول‌های استخوان‌ساز را مختل می‌کند.
افراد سیگاری چند برابر بیشتر در معرض این عارضه هستند.

بیماری‌های زمینه‌ای

برخی بیماری‌ها روند ترمیم را کند یا متوقف می‌کنند از جمله:
دیابت
پوکی استخوان
کم‌خونی شدید
بیماری‌های کلیوی یا خودایمنی

تغذیه نامناسب و کمبود ریزمغذی‌ها

استخوان‌سازی به مواد مغذی نیاز دارد. کمبود موارد زیر خطرناک است:
کلسیم
ویتامین D
پروتئین
ویتامین C و روی (Zinc)

مصرف برخی داروها

برخی داروها می‌توانند روند ترمیم را مختل کنند:
کورتون‌ها (کورتیکواستروئیدها)
برخی داروهای ضدالتهاب غیراستروئیدی در مصرف طولانی‌مدت
داروهای شیمی‌درمانی

سن بالا و کاهش توان ترمیم بدن

با افزایش سن:
سرعت بازسازی کاهش می‌یابد
جریان خون کمتر می‌شود
به همین دلیل سالمندان بیشتر در معرض این مشکل هستند.

راه‌های درمان

راه‌های درمان
درمان این مشکل بسته به علت، محل شکستگی و وضعیت عمومی بیمار انتخاب می‌شود. معمولاً هدف از درمان ایجاد ثبات، تحریک استخوان‌سازی و برطرف کردن عوامل بازدارنده است. در ادامه مهم‌ترین راه‌های درمان را مرحله‌به‌مرحله شرح می‌دهم:

درمان‌های غیرجراحی

این روش‌ها معمولاً در موارد خفیف یا ابتدای تشخیص استفاده می‌شوند و برای بیمارانی مناسب هستند که محل شکستگی هنوز کمی فعالیت ترمیمی دارد.

تثبیت و بی‌حرکتی مجدد
استفاده از گچ‌گیری، آتل یا بریس‌های اختصاصی
جلوگیری از حرکت قطعات استخوان تا فرصت ترمیم ایجاد شود

تحریک الکتریکی استخوان (Bone Stimulator)
استفاده از دستگاه‌های میدان مغناطیسی یا جریان الکتریکی با فرکانس پایین
تحریک سلول‌های استخوان‌ساز (Osteoblast) برای افزایش تولید بافت استخوانی
درمان غیرتهاجمی و بدون درد، انجام روزانه در خانه یا کلینیک

اولتراسوند تراپی با شدت کم (LIPUS)
ارسال امواج صوتی به محل شکستگی
افزایش جریان خون موضعی و تسریع تشکیل کال استخوانی

اصلاح تغذیه و مکمل‌ها
مصرف کلسیم، ویتامین D، پروتئین، ویتامین C و روی
بررسی کمبودهای تغذیه‌ای و جبران آن با رژیم غذایی یا مکمل‌ها

درمان‌های جراحی

زمانی استفاده می‌شود که شکستگی بعد از ۶ تا ۹ ماه هیچ نشانه‌ای از بهبود ندارد یا علت جوش نخوردن مشکلات مکانیکی یا عفونت است.

فیکساتور داخلی (Internal Fixation)
استفاده از پلاک، پیچ، میله یا پین برای ثابت نگه داشتن استخوان
ایجاد محیط پایدار برای ترمیم

پیوند استخوان (Bone Graft)
برداشت استخوان از بدن خود بیمار (معمولاً از لگن) یا استفاده از استخوان مصنوعی
جایگذاری در محل شکاف برای تحریک استخوان‌سازی

برداشتن بافت مرده یا عفونی (Debridement)
پاکسازی بافت‌های غیرزنده یا آلوده اطراف محل شکستگی
پیشگیری از گسترش عفونت و ایجاد شرایط مناسب ترمیم

فیکساتور خارجی (External Fixation)
تثبیت استخوان با میله‌ها و پین‌هایی خارج از بدن
کاربرد در شکستگی‌های باز یا آلوده که باید محل جراحی قابل دسترس باشد

کنترل عوامل زمینه‌ای

ترک سیگار و محدود کردن الکل
درمان بیماری‌های مزمن مثل دیابت یا کم‌خونی
اصلاح داروهایی که مانع ترمیم می‌شوند (با نظر پزشک)

نکته کلیدی
درمان موفق این عارضه نیازمند ترکیب چند روش است. به عنوان مثال یک بیمار ممکن است هم به جراحی تثبیت و هم به تحریک الکتریکی استخوان نیاز داشته باشد به همراه اصلاح تغذیه و کنترل عوامل خطر. تشخیص دقیق توسط ارتوپد بر اساس نوع شکستگی و تصاویر رادیولوژی صورت می‌گیرد.
راه‌های درمان

کلام آخر

استخوان جوش نخورده مشکلی جدی اما قابل‌تشخیص و درمان است. توجه به علائم هشداردهنده و انجام تصویربرداری دقیق در زمان مناسب نقش اساسی در جلوگیری از عوارض طولانی‌مدت دارد. تشخیص دقیق نخستین گام در مسیر درمان موفق است. در مواردی مانند جوش نخوردن استخوان کیفیت و دقت تصاویر نقشی حیاتی دارد.
مرکز تصویربرداری دکتر فاطمه محمدنژاد با بهره‌گیری از تجهیزات پیشرفته و تفسیر تخصصی پزشکان مجرب خدماتی قابل اعتماد در زمینه تشخیص مشکلات استخوانی ارائه می‌دهد. برای بررسی‌های کامل و انجام انتخاب این مرکز می‌تواند مسیر شما را به سوی درمان مؤثر و مطمئن‌تر هدایت کند. برای تعیین نوبت می‌توانید از طریق دکمه دریافت نوبت یا شماره تماس 02188671902 اقدام نمایید.


منابع
clevelandclinic.org
siloamhospitals.com

معمولاً پس از گذشت ۶ تا ۹ ماه از شکستگی و نبود شواهد ترمیم، جوش نخوردگی مطرح می‌شود.

در اغلب موارد بدون مداخله درمانی مناسب، بهبود خودبه‌خودی رخ نمی‌دهد.

در صورت عدم تشخیص و درمان به‌موقع، احتمال کاهش دائمی عملکرد اندام وجود دارد.

لیست نظرات

علیرضا محمدی

مقاله خیلی کمک کرد بفهمم چرا شکستگی پام بعد از چند ماه هنوز خوب نشده و چه موقع باید جدی تر پیگیریش کنم

مریم حسینی

توضیحاته کاملا روان بود و باعث شد استرسم کمتر بشه چون علائمشو دقیقا توی خودم میدیدم

رضا کریمی

من مدت ها درد داشتم و فکر میکردم طبیعیه ولی بعد از خوندن مقاله فهمیدم موضوع چیز دیگه ایه

سمیه احمدی

اینکه مرحله به مرحله توضیح داده شده خیلی خوب بود و اصلا خسته کننده نبود


تماس با ما

تایم کاری :

شنبه تا چهارشنبه ساعت 08:30 تا 19:00

تماس با ما :

آدرس :

تهران، جردن، بالاتر از میرداماد، نبش کوچه آناهیتا، ساختمان پزشکان آناهیتا، طبقه 4، واحد 15

شبکه های اجتماعی :

دکتر فاطمه محمدنژاد - بهترین متخصص رادیولوژی و سونوگرافی در جردن